Son un tipo de ortodoncia invisible
Siguen siendo los más utilizados debido a su gran versatilidad
Si se cambian constantemente los elásticos, los dientes se pueden mover muy rápido, lo que puede debilitarlos y causar una pérdida total del diente.
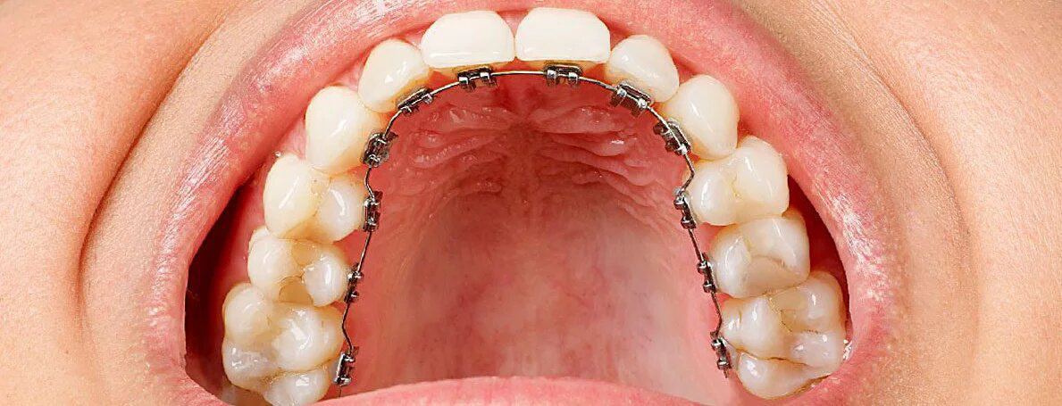
Son una tipo de brackets que para la ortodoncia dental. Éstos brackets dentales son como los tradicionales brackets...
Asegurar el cumplimiento de la normatividad vigente. Evaluar si es necesario introducir mejoras en los procesos, ya que la detección de la deficiencia...
El Sistema de Salud Pública (SIVIGILA) tiene como responsabilidad el proceso de observación y análisis objetivo, sistemático y constante de los eventos en salud
En algunas ocasiones el oscurecimiento de una pieza dental se debe a que la parte interna del diente en la que ha sufrido un cambio de color por algún tratamien
En esta empresa nos comprometemos a garantizar a nuestros usuarios, sus familias, visitantes y clientes internos. seguridad, protección y cuidados durante su es
Déjanos tus comentarios